

Yonsei Dreaming Dental Clinic
Yonsei Dreaming Dental Clinic


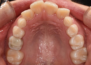
※ 실제 연세꿈꾸는치과에서 교정치료를 받은 환자 입니다.




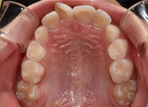
※ 실제 연세꿈꾸는치과에서 교정치료를 받은 환자 입니다.




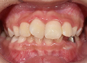
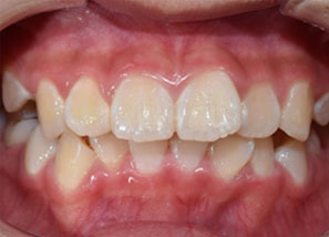
※ 실제 연세꿈꾸는치과에서 교정치료를 받은 환자 입니다.




연세꿈꾸는치과의원 | 주소 경기도 하남시 미사강변남로 91 르보아파크 2차 4층 426~431, 416호 | 대표자 주기훈, 임현묵
TEL 031.8028.2875 | 사업자등록증 516-95-00836 | 이메일 ysdreamdc@naver.com
이용약관 | 개인정보처리방침 | Copyright Yonsei Dreaming Dental Clinic. all right reserved. Designed by Firsttouch Company
연세꿈꾸는치과의원
주소 경기도 하남시 미사강변남로 91 르보아파크 2차 4층 426~431, 416호
대표자 주기훈, 임현묵
TEL 031.8028.2875 | 사업자등록증 516-95-00836
이메일 ysdreamdc@naver.com
Copyright Yonsei Dreaming Dental Clinic. all right reserved.
Designed by Firsttouch Company